• La piattaforma di wealth planning
  • Italpress Agenzia di stampa

Salute e Sanità

Trovati 1396 record
Primo soccorso nelle scuole sarde: formati studenti e docenti
25/07/2025
In Sardegna 10.000 studenti e 1.100 docenti formati al primo soccorso grazie al ...
La Sindrome di Castleman, una malattia ancora poco conosciuta
25/07/2025
di Annachiara Albanese La rara Sindrome di Castleman, secondo una delle definizi...
Tumori ereditari: oltre 1,2 milioni di italiani a rischio senza saperlo
24/07/2025
Un milione e 250mila italiani hanno una predisposizione ai tumori ereditari, ma ...
Tecnologie cardiovascolari, l’eccellenza di Angiodroid
23/07/2025
Innovazione made in Italy per angiografie sicure e supporto cardiocircolatorio: ...
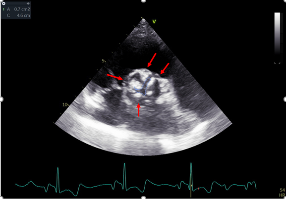
Campania: primo impianto TAVI in Italia con nuova tecnologia per la stenosi aortica
22/07/2025
A Castel Volturno il primo impianto italiano di TAVI con nuovo sistema di rilasc...
Smartphone prima dei 13 anni? A rischio la salute mentale dei giovani
22/07/2025
Uno studio su oltre 100mila giovani rivela: possedere uno smartphone prima dei 1...
Sull’HIV occorre accelerare su prevenzione e cura multidisciplinare
22/07/2025
ICAR 2025: in Italia 140mila persone vivono con HIV. Più prevenzione, PrEP acces...
Sovrappeso e obesità accelerano l’invecchiamento del cervello
22/07/2025
Uno studio su oltre 46mila persone rivela che sovrappeso e obesità anticipano l’...
WHP Piemonte: i luoghi di lavoro che promuovono salute e benessere
22/07/2025
Aziende piemontesi unite per la salute nei luoghi di lavoro: nasce la rete WHP. ...
Un test pediatrico potrebbe prevedere il rischio di obesità in età adulta
21/07/2025
Uno studio su 5 milioni di persone mostra come un test genetico possa prevedere ...
Trovati 1396 record